〒002-8073
札幌市北区あいの里3条7丁目16-19
TEL/FAX 011-778-1182
ホーム
お知らせ
診療案内
矯正歯科・入れ歯
ご挨拶
クリニック案内
診療時間
お問合せ
TEL/FAX 電話からのお問い合わせ
011-778-1182
メールからのお問い合わせ
 
 
矯正歯科・入れ歯
 
 
矯正治療について
 
原則的に歯を抜かずに歯並びを良くします
 従来の矯正治療では4本の永久歯を抜歯することが多かったのですが、当院では、
原則的にできるだけ歯を抜かない
で、顎を拡げることで歯並びを良くし、呼吸機能および顔貌も改善する矯正治療を行っています。
   
症例により、通常の矯正治療の約半額での治療が可能です。
 治療には主に、床矯正装置(入れ歯タイプの取りはずし可能な装置)を用いています。
顎の拡大後に歯の方向の全体的なバランスを整える必要がある場合は、ワイヤーブラケットを使用します。成長の旺盛な時期にタイムリーに治療を行うことが望ましいです。治療前のカウンセリングで患者様にあった最善の治療方法を相談できます。症例により、通常の矯正治療の約半額での治療が可能ですので、ぜひ一度ご相談ください。
   
デーモンシステムだと短期間で治療が可能です。
 治療期間を短縮されたい患者様にはセルフライゲーション(摩擦の少ないワイヤーブラケットで弱い力で短期間に歯の移動が可能)のデーモンシステムをおすすめしています。
     
成人の方もご来院お待ちしております。  
 成人の方も治療可能です。
   
お気軽にご相談ください。(相談料は無料です。)
 
矯正治療の流れ
   
治療前 床装置での拡大
治療前   床装置での拡大
   
ワイヤーフラットでの仕上げの段階 治療後
ワイヤーブラケットでの仕上げの段階   治療後
 
矯正治療例
 
叢生
叢生 治療前 叢生 治療後
治療前   治療後
   
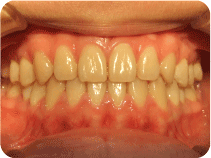
上顎前突
上顎前突 治療前 上顎前突 治療後
治療前  
 
反対咬合 (床装置1個で治せた症例です。)
反対咬合 治療前 反対咬合 治療後
治療前   治療後
 
開咬
開咬 治療前 開咬 治療後
治療前   治療後
 
 
 
▲ページトップ
 
 
 
入れ歯 ・スマートデンチャー 〜 バネの見えない義歯 〜
 
保険のバネとスマートデンチャー バネが目立たない作りになっているため、入れ歯が入っていることが外見上全くわからない義歯です。金属プレートに裏打ちされているので丈夫で食べ物の温度が伝わりやすく、また汚れもつきにくいです。厚みも薄いので異物感も少なく発音しやすくなっています。「よく咬めるし、見た目もよい」と大好評をいただいています。
和田精密歯研(株)より
 
 
 
 
▲ページトップ
 
Copyright(C)2008 Aiai Dental Clinic All Rights Reserved. Produceds by CI-TEC,Inc.